Fasader/fasetter som alternativ til regulering
1: Forfra før behandlingen. Pasient henvendte seg fordi hun ønsket å få rettet tennene sine uten tannregulering. Fortennene hadde også forskjellig lengde. Siden regulering var uaktuelt ble det ved hjelp av en mock-up modell (en modell av tennene der de gis ny form, og kan prøves på pasienten før man bestemmer om man vil gjennomføre behandlingen) konstatert at det her var mulig å «rette» tennene med fasader.
2: Fra venstre side før behandlingen
3: Fra høyre side før behandlingen
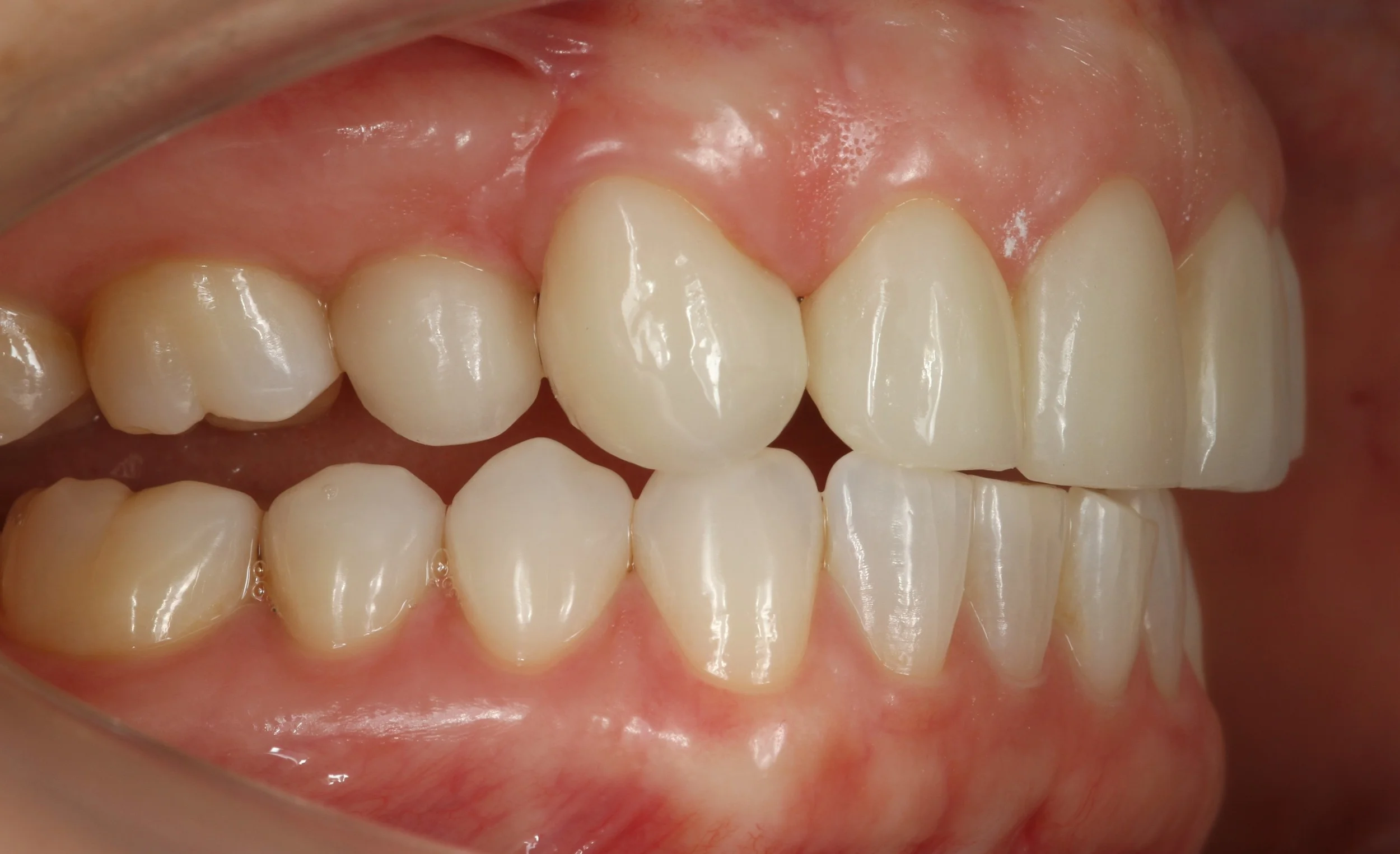
4.Etter behandlingen, Forfra
5. Etter behandlingen, fra venstre siden
6. Etter behandlingen, fra høyere siden
