Ny fortanns krone
1. Pasienten henvender seg med en krone som ikke ligner tannen ved siden av, gir betent tannkjøtt, og er misfarget. Tannkjøtts nivået er heller ikke likt på de to fortennene.
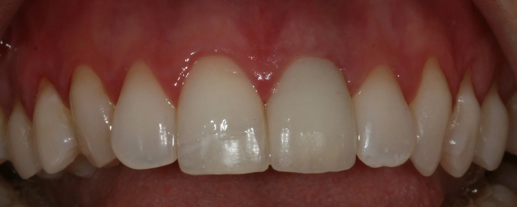
2. Ferdig behandling, 1 år etter. Tannkjøtts nivået er justert slik at nivået er likt på de to tennene og ikke lenger betent. Farge og form er tilpasset slik at den passer til tennene ved siden av. Å lage en enslig tann som skal passe inn i tannrekken krever en svært dyktig tanntekniker.
